Темы

C Cеквенирование E E1b1b G I I1 I2 J J1 J2 N N1c Q R1a R1b Y-ДНК Австролоиды Альпийский тип Америнды Англия Антропологическая реконструкция Антропоэстетика Арабы Арменоиды Армия Руси Археология Аудио Аутосомы Африканцы Бактерии Балканы Венгрия Вера Видео Вирусы Вьетнам Гаплогруппы Генетика человека Генетические классификации Геногеография Германцы Гормоны Графики Греция Группы крови ДНК Деградация Демография в России Дерматоглифика Динарская раса Дравиды Древние цивилизации Европа Европейская антропология Европейский генофонд ЖЗЛ Живопись Животные Звёзды кино Здоровье Знаменитости Зодчество Иберия Индия Индоарийцы Интеръер Иран Ирландия Испания Исскуство История Италия Кавказ Канада Карты Кельты Китай Корея Криминал Культура Руси Латинская Америка Летописание Лингвистика Миграция Мимикрия Мифология Модели Монголоидная раса Монголы Мт-ДНК Музыка для души Мутация Народные обычаи и традиции Народонаселение Народы России Наши Города Негроидная раса Немцы Нордиды Одежда на Руси Ориентальная раса Основы Антропологии Основы ДНК-генеалогии и популяционной генетики Остбалты Переднеазиатская раса Пигментация Политика Польша Понтиды Прибалтика Природа Происхождение человека Психология РАСОЛОГИЯ РНК Разное Русская Антропология Русская антропоэстетика Русская генетика Русские поэты и писатели Русский генофонд Русь США Семиты Скандинавы Скифы и Сарматы Славяне Славянская генетика Среднеазиаты Средниземноморская раса Схемы Тохары Тураниды Туризм Тюрки Тюрская антропогенетика Укрология Уралоидный тип Филиппины Фильм Финляндия Фото Франция Храмы Хромосомы Художники России Цыгане Чехия Чухонцы Шотландия Эстетика Этнография Этнопсихология Юмор Япония генетика интеллект научные открытия неандерталeц

Поиск по этому блогу

воскресенье, 24 ноября 2013 г.

Лейкемия ценой в один нуклеотид

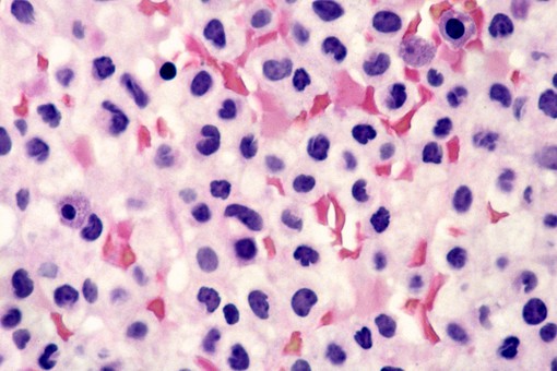
При лимфобластном лейкозе лимфоциты останавливаются в своем развитии на стадии предшественников зрелых клеток — лимфобластов

Дети наследуют предрасположенность к лейкемии от родителей

Первые доказательства того, что риск развития лейкемии у детей напрямую связан с мутацией гена PAX5, координирующего работу других генов, получены международной группой ученых, проанализировавших семейные случаи возникновения заболевания.
В реализации проекта участвовали 70 исследователей из различных лабораторий мира. Результаты этой масштабной (по количеству участвующих в ней научно-медицинских учреждений) работы опубликованы в Nature Genetics в ночь на понедельник.
Острый лимфобластный лейкоз (ОЛЛ) – один из видов лейкозов, наиболее часто встречающихся именно у детей. Его называют острым, поскольку симптомы заболевания развиваются стремительно, лимфобластным – потому, что белые клетки крови, лимфоциты, останавливаются в своем развитии на стадии предшественников зрелых клеток, лимфобластов. Примерно в 80% случаев нарушается созревание В-лимфоцитов, такой лейкоз именуют В-клеточным.
Мутацию в гене PAX5 впервые обнаружили ученые из онкоцентра «Мемориал Слоан-Кеттеринг» в США.
Они вели многолетние наблюдения за состоянием здоровья в семьях, где случаи заболевания острым лимфобластным лейкозом в детстве были не единичными.
Затем их наблюдения подтвердили и в других клиниках. В дальнейшем в серии совместных экспериментов исследователи показали, что к таким драматическим последствиям приводит небольшая мутация всего лишь в одной из копий гена PAX5. В нашем организме генетический материал дублирован в парных соматических (неполовых) хромосомах, и, казалось бы, такая мутация должна быть компенсирована «здоровым» геном в парной хромосоме, но этого не происходит, и болезнь проявляется со всей необратимостью.
В результате мутации заметно снижается активность гена PAX5. А это, в свою очередь, означает, что он начинает плохо справляться со своей основной функцией — регулированием работы других генов, отвечающих за формирование полноценных В-лимфоцитов. Во всех случаях В-клеточного ОЛЛ, которые проанализировали исследователи, одна из копий гена была «здоровой», а другая изменена мутацией.
К развитию болезни приводила ошибка ценой в один нуклеотид.
Замена лишь одного нуклеотида влекла за собой незначительные перестановки в белковом продукте гена PAX5 по месту мутации: одна аминокислота – глицин – заменялась на другую – серин. И лимфобласты теряли способность превращаться в зрелые белые клетки крови.
Участники проекта проанализировали 44 случая спорадических – случайных – мутаций у детей, в семьях которых ранее не отмечалось случаев заболевания В-клеточным ОЛЛ.
Причина оказалась сходной: та же мутация, в том же гене и в том же самом его участке.
Вместе с тем, ученые считают, что необходимо продолжать исследования, чтобы окончательно выяснить, как часто наследуется мутация в гене PAX5, и чтобы найти способы направленного терапевтического воздействия на транскрипцию ДНК «в обход» этого гена в случаях ненаследуемых форм лейкемии с мутацией PAX5. Кроме того, поиск дополнительных генетических факторов, которые наравне с PAX5 могут вносить свой вклад в развитие заболевания, по мнению участников проекта, еще не закончен.